20. FEBRUAR 2026, PRAXIS BUCHSBAUM, SCHAFFHAUSEN
NOCH
Ein Beinbruch passt nie. Umso ärgerlicher ist es, wenn er kurz vor dem Ende einer Tour passiert. Der Bericht dazu ist hier zu lesen.
Aber mit der schnellen Rettung durch die rega und die sofortige Operation im Kantonsspital Herisau ist die Sache natürlich nicht gegessen. Es folgt eine Zeit mit grösseren Einschränkungen für einen selbst und auch das Umfeld. Selbst wenn das Ende absehbar ist, ganz ohne Selbstmitleid geht es wohl nicht…
So viele Selbstverständlichkeiten sind plötzlich mühsam. Das beginnt beim Nächtlichen Toilettengang und erreicht einen ersten Tageshöhepunkt beim Duschen: VacoPed und Überziehstrumpf ausziehen, mit dem Gartenstuhl unter die Dusche humpeln, einseifen, abduschen, abtrocknen, Unterwäsche und Hose anziehen, das Bein mit dem VacoPed wieder fixieren – gerade zu Beginn war das derart anstrengend, dass ich gleich wieder hätte duschen können. Die Kaffeemaschine kann ich zwar bedienen, aber den Kaffee muss ich dann über mehrere Stationen bis zum Tisch befördern. Und so geht es weiter. Eine Hilfe bin ich im Haushalt auch nicht mehr, und an der Betreuung der Schwiegereltern kann ich mich auch nicht mehr beteiligen.


Tagsüber habe ich keine Schmerzen, gegen Abend beginnt es zu ziehen, aber eigentlich nur wenig. Die Dosen habe ich reduziert und nach 10 Tagen ganz aufgehört (ausser der Impfung).
2. Januar 2026 – Fäden entfernen

Eigentlich wäre das Fäden entfernen Sache des Hausarztes, aber nach einem Anruf in der Notfallklinik im Kantonsspital war es kein Problem, das auch dort machen zu lassen. Einfach einen Termin könnten sie mir nicht geben. Seit meinem letzten Aufenthalt in der Notfallklink hat sich administrativ einiges getan. Dazu eine kleine Annekdote:
Als ich mir vor 10 Jahren die Platte vom Bruch des linken Beins entfernen liess, geschah das ambulant, mit dem Hinweis, wenn es zu sehr blute, solle ich mich einfach wieder im Notfall melden. Es blutete stark und ich war einige Stunden nach der Entlassung wieder da. Da schob mit die PA ein Anmeldeformular über den Tresen, den ich doch bitte ausfüllen solle. Ich bin dann wohl etwas laut geworden und mit dem Hinweis, dass ich heute Morgen hier operiert worden sei und jetzt sicher kein neues Formular ausfülle, ging es dann plötzlich...
Jedenfalls war die Anmeldung im Handumdrehen erledigt, ich musste nicht einmal das Krankenkassenkärtchen zücken. Wer früher im Wartezimmer ist, der wartet halt einfach länger, in meinem Falle eine Dreiviertelstunde.
Die Wunde ist gut verheilt, aber bei der Einzelknotennaht dauert das Ziehen eben etwas länger.
Achtung: Das Bild vielleicht besser nicht vor einer Mahlzeit anschauen…

Zwischendurch musste dann der Arzt zu einem echten Notfall, so kam weitere Wartezeit hinzu. Die Naht stammt vermutlich von zwei Personen, oben vom Assistenten, unten vom Chef. Das sei daran zu erkennen, dass oben die Knoten tief ins Fleisch eingezogen seien, unten aber leicht zugänglich an der Oberfläche gesetzt wurden. Erschwert wurde die Entfernung noch durch das Einwegbesteck, bei dem die Schere weniger scharf und die Pinzette weniger präzise sei. Ist schon schräg, so etwas nach einmaligem Gebrauch wieder wegzuwerfen.

Madeleine war gerade mit dem Einkauf fertig und so kam ich in den Genuss des Taxiservices nach Hause.
Nur noch etwas über 4 Wochen…

10. Januar 2026 – Pflaster weg
Heute Morgen beim Abtrocknen nach der Dusche habe ich mir ungewollt das geniale Pflaster abgerissen. Ich habe es nicht mehr ersetzt. Die Narbe ist trocken und durch den Überziehstrumpf und die Polsterung des VacoPed ausreichend geschützt.

Schmerzen habe ich überhaupt keine mehr, was auch ein bisschen gefährlich ist, weil man leicht vergessen könnte, dass man noch nicht belasten darf.
Noch knapp vier Wochen…
20. Januar 2026 – Stimmungsaufheller
Ich bin nicht gerade am veröden, aber mein Leben ist momentan nicht so wirklich spannend. Ich lese zwar viel, bearbeite Bilder am PC, treibe mich – viel zu lange – auf Instagram rum, mache mir meine Gedanken zur Gesellschaft und zur Politik, gebe meinen Senf dazu mit Onlinekommentaren im Tages-Anzeiger und der New York Times oder schreibe Leserbriefe. Ich kann ja nicht einmal in die Werkstatt, weil ich nicht so lange stehen kann. Aber vor allem: Ich bin zuhause eingesperrt und draussen herrscht prächtigstes Bergwetter. Wenn es jetzt so vereist ist, dann will ich einfach nichts riskieren und darum beschränkt sich mein Aussenradius auf den Gang zum Briefkasten.
Positiv ist natürlich, dass ich nach wie vor keine Schmerzen habe und auch die Narbe schön verheilt. Also gute Voraussetzungen, dass es wieder völlig gut wird. Und um meine Zuversicht auch noch etwas zu untermauern, habe ich mich gleich für drei Bergtouren der SAC-Sektion Randen angemeldet:
Bis Ende Juni sollte ich die Fitness wieder zusammenhaben, um da mitzutun.
Hat gut getan. Die Anmeldung.
Noch etwas mehr als zwei Wochen…
24. Januar 2026 – Laub

Jetzt ist mir ein Bild von Ende Oktober nochmals in die Hände gekommen, aufgenommen fast an der gleichen Stelle:

In 13 Tagen ist die Schraube draussen.
2. Februar 2026 – Röntgen und Ops-Sprechstunde
Ich hatte mich schon bei der Entlassung aus dem Spital Herisau am 22. Dezember letzten Jahres entschieden, alle Folgebehandlungen hier machen zu lassen. Es ist eine Vertrauenssache und wenn die Erreichbarkeit etwas mühsam ist, dann ist es eben so.
Die Anreise war aber, bis auf das tendenzielle Glatteis vor unserem Haus, problemlos. Ab dem Bahnhof Herisau gibt es für Gehbehinderte aber keine andere Transportmöglichkeit als ein Taxi; zu weit liegen die Bushaltestellen des ÖV vom Spital weg.

Danach folgte die Sprechstunde mit dem Orthopäden, Dr. Alexander Ewers, der mich darüber aufklärte, was er am nächsten Freitag zu tun gedenke.

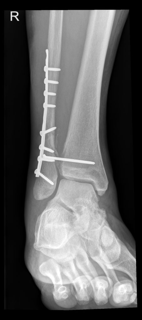
Die lange Schraube kommt raus. Sie hat in den letzten 6 Wochen Schien- und Wadenbein stabilisiert, bis der genähte Syndesmosebandriss ausgeheilt war.
Eine Syndesmose ist eine bandartige Verbindung zwischen zwei Knochen, die aus straffem Bindegewebe besteht und als «unechtes Gelenk» gilt; sie stabilisiert vor allem das obere Sprunggelenk zwischen Schien- (Tibia) und Wadenbein (Fibula) und ermöglicht eine begrenzte Bewegung, wobei eine Verletzung zu Instabilität führt und oft eine operative Stabilisierung erfordert.
Dazu braucht es nur einen Schnitt von ca. 2 cm Länge. Dr. Ewers empfahl mir eine Vollnarkose, weil das Herausdrehen solcher Schrauben oft mehr Kraft erfordert als erwartet. Die Schraube kann fest im Knochen sitzen oder von Narben- und Knochengewebe umgeben sein, sodass beim Lösen deutlicher Zug, Druck und Vibrationen entstehen. Diese Empfindungen lassen sich mit einer Teilnarkose/Spinalanästhesie nicht immer vollständig ausschalten und sind sicher sehr unangenehm, selbst wenn sie nicht direkt schmerzhaft sind. Eine Vollnarkose sorgt für vollständige Muskelentspannung, verhindert unwillkürliche Bewegungen und nimmt auch die belastenden Geräusche und Erschütterungen komplett aus dem Erleben heraus. Zudem ist der Eingriff in seiner Dauer nicht immer exakt vorhersehbar, was sich unter Vollnarkose leichter und sicherer handhaben lässt.
Einen Dämpfer habe ich dann aber schon auch noch bekommen: Dass ich in den Skiferien nicht auf der Piste stehen würde, war klar, aber dass ich jetzt auch das Spa-Angebot nur sehr eingeschränkt nützen kann, ist schon heftig. Aber die Gefahr einer Infektion bei einer frischen Wunde im Wasser oder in der Sauna ist einfach zu gross, selbst mit den inzwischen wirklich hervorragenden wasserfesten Verbandspflastern. Wäre schon nett gewesen…
Danach folgte noch die Sprechstunde mit der leitenden Ärztin Anästhesie, Aniko Nagy. Meinen Wunsch nach Vollnarkose liess sie sich noch beim Orthopäden bestätigen und meinte nachher dazu, jetzt hätte sie auch wieder etwas gelernt.

Am Freitag, 6. Februar 2026, um 10 Uhr beginnt das Abenteuer.
6. Februar 2026 – Schraube entfernen
Heute ist also der grosse Tag, an dem der erste Schritt zurück zur Normalität geschehen soll: Die Stellschraube, die bis zur Verheilung des Syndesmosebandes das Wadenbein am Schienbein fixierte, kann endlich raus. Damit ist auch wieder Torsion möglich und ich darf wieder 100% belasten. Wie gesagt, es ist ein erster Schritt und die Reha wird noch einige Zeit brauchen.
Ich war froh, dass das Wetter in unseren Lagen nicht zu winterhaft war, so konnte ich gefahrlos mit dem ÖV nach Herisau reisen, wo ich um 10 Uhr in die Tagesklinik eincheckte. Ein bisschen warten, noch etwas administrativer Krimskrams und dann war es zur Mittagszeit so weit. Vollnarkose, Operation und bereits vor 13 Uhr war ich wieder wach und schwindelfrei.


Die Erstellung des Austrittsberichtes verzögerte sich aber noch und so musste Lily, die mich abholen kam, noch weiter warten.
Die Operation ist gut verlaufen, aber leider habe ich jetzt wieder einen duschfeindlichen Verband und das Bein glänzt wieder in der Farbe von Donald Trumps Gesicht. Aber am Montag kann ich den Verband abnehmen und die Wunde (mit drei Stichen genäht) mit einem wasserfesten Pflaster schützen. Tja, aber eben, auch das schützt nicht ausreichend für Pool und Sauna. Also werde ich das in unseren Ferien schweren Herzens unterlassen, weil ich in keinster Weise eine Infektion riskieren will, welche die Entfernung der Platte notwendig machen würde. Die weiteren Konsequenzen wären unabsehbar.

Nächster Termin ist dann der 20. Februar, Fäden ziehen N° 2.
Nachtrag 7. Februar: Wiederum absolut schmerzfrei ohne Medis. Und was für ein Aufwachen: Das erste Mal seit 7 Wochen ohne Stöcke am Bett.
10. Februar 2026 – Der Wiederaufbau beginnt
Den Dämpfer, den Spa-Bereich der Amrai-Suites nicht benützen zu können, musste ich zuerst einmal verdauen. Und natürlich bin ich seit letztem Samstag ohne Krücken unterwegs, dass aber die Beweglichkeit in den vorangehenden 7 Wochen so stark abgenommen hatte, hat mich dann – trotz einschlägiger Erfahrung – doch etwas überrascht. Ich hatte schon damit gerechnet, dass sich das schneller wieder normalisieren würde. Aber eben, tat und tut es nicht.

Dann Angewöhnung. Wie gesagt, ich bin nicht so gut zu Fuss unterwegs, wie ich erwartet hatte. Meine Fortbewegung ist in etwa so elegant wie von jemandem mit Skischuhen an…
Am Montagmorgen durfte ich dann den Verband abnehmen, aber die Wundkleber getraute ich mich nicht abzuziehen, weil es dann sicher wieder zu bluten begonnen hätte. Also sehr vorsichtig.
Entsprechend wagte ich auch noch nicht, mit dem Aufbautraining zu beginnen. Es ist eher ein Beweglichkeits- als ein Konditionsthema.
Aber heute war es so weit.


Der erste Schritt ist getan. Das werde ich jetzt jeden Tag durchziehen und am nächsten Dienstag bin ich dann zum ersten mal in der Physiotherapie.





















































































































































































