Im Schweizer Tiefland herrscht derzeit eine typische winterliche Hochnebellage. Eine stabile Hochdrucksituation und wenig Wind sorgen dafür, sodass sich die kalte, feuchte Luft in Bodennähe sammelt. Durch eine Temperaturinversion ist es unten kälter als in der Höhe, wodurch der Nebel nicht abziehen kann. Die feuchten Böden und die langen Winternächte begünstigen zusätzlich die Nebelbildung. Das Mittelland wirkt dabei wie eine Wanne zwischen Jura und Alpen, in der sich der Hochnebel festsetzt. Da die Wintersonne zu schwach ist, um die Luft durchzumischen, bleibt es oft tagelang grau und trist, während es in den Bergen oberhalb der Nebelgrenze sonnig ist.
Also ab in die Berge! Und was liegt näher als der Alpstein, um sicher über den Nebel zu kommen? Eigentlich hätte ich schon am Vortag gehen wollen, aber familiäre Verpflichtungen standen dem entgegen und gemäss Wetterprognose sollte es heute sogar noch etwas besser sein.

Da die Ebenalpbahn in Revision ist, blieb mir nichts anderes übrig, als vom Talboden aus aufzusteigen. Aber nicht von Wasserauen aus über den Bommenweg, sondern von Schwende über die Gartenalp.










Allzulange hatte ich nicht vor, hier zu verweilen, dazu war ich nicht in Stimmung. Der Abstieg ging schnell voran, für den Gratweg zur Ebenalp schnallte ich mir aber nochmals die Schneeschuhe an.



Beinbruch

Etwas mehr als 100 m von der Stelle, von der die obige Aufnahme stammt, ist es dann also doch passiert: Nicht überall war der Weg so sauber geputzt und ich bin im Laub ausgerutscht, abgeknickt und hingefallen. Dabei hat es geknallt, wie vor 10 Jahren, als ich auf Glatteis…
Aufstehen konnte ich nicht mehr, da war es für mich klar, was passiert war, 250 Höhenmeter Abstieg vor dem Ziel: Das Bein war gebrochen. So lange ich ruhig liegen blieb, hatte ich aber keine Schmerzen und so war es auch einfach, die REGA-App erstmals nicht im Testmodus, sondern «scharf» zu benützen. Ich wurde sofort verbunden, man begrüsste mich mit Namen und hatte auch meinen Standort bereits lokalisiert. Eine vorbildliche Kundenbindung, auf die ich lieber verzichtet hätte…
Ich schilderte, was passiert war, äusserte meine Vermutung, man hat sich nach den Wind- und Sichtverhältnissen vor Ort erkundigt und dann wurde ich noch gefragt, ob ich mich etwas auf die Wiese hinaus bewegen könnte (ich war am Waldrand) und dass ich mich bei Ankunft des Helis, der in 11 Minuten da sein würde, doch bitte mit Winken bemerkbar machen solle.
Dann rief ich noch die beste Ehefrau von allen an, um ihr zu erklären, dass alles in bester Ordnung sei und dass mich die REGA jetzt dann gleich abholen würde, worauf sie aus unerklärlichen Gründen ihren geplanten Besuch in Bern absagte…
In der verbliebenen Zeit schaffte ich es immerhin, etwa 10 Meter in die Wiese hineinzurobben, erst unter einem Zaun hindurch und immer mit dem Rucksack im Schlepptau.

Wie dann die Rettung ablaufen würde, war mir nicht ganz klar, aber eigentlich hatte ich erwartet, dass sie einen Nothelfer oder Notarzt am Seil bei mir absetzen würden, die Wiese war für eine Landung viel zu steil.
Notarzt Georg Winter machte die Erstversorgung ruhig und routiniert, legte eine provisorische Schiene und einen Venenzugang an, um mir auch gleich ein Schmerzmittel zu verabreichen, das ich aber eigentlich nicht für nötig hielt. Beim Rettungsgurt hatten wir etwas mehr Mühe, das hing aber vor allem mit meinem Rucksack zusammen, den er dann schliesslich mit einem Karabiner an seinem Gurt befestigte. Immer wieder machte er mich darauf aufmerksam, dass es jetzt laut und luftig werden würde und dass ich auf gar keinen Fall meinen Griff am Rettungsgurt loslassen dürfe. War dann halt leider nichts mit Fotografieren, obwohl es eigentlich schon gegangen wäre…
Als wir denn abflugbereit warten, wurde der Heli, der inzwischen im Tal gelandet war, wieder angefordert und bald schon schwebte er über uns, mit einem etwa 30 m-Seil, an dessen Ende ein Sicherheitshaken befestigt war. Schon im zweiten Anlauf konnte Georg den Haken fassen und einklinken und dann ging es zuerst nur mit dem Heli aufwärts. Anschliessend wurde begonnen, das Seil mit der Winde einzuziehen, aber nur so weit, bis der Notarzt seinen Arm um die linke Kufe legen konnte. So flogen wir ins Tal, wo auf einer Wiese zwischengelandet wurde. Da konnte ich umsteigen und danach ging es weiter ins Kantonsspital Herisau.




Wenn man dann schon mal die Brauerei Locher von oben sehen kann…
Ich hatte nach wie vor keine Schmerzen und konnte den Flug so richtig geniessen (natürlich auch die exklusive Seilphase).
Wir näherten uns schnell dem Ziel, aber auch da bekam ich noch ein aviatisches Zückerchen geboten: Der Sinkflug ähnelte eigentlich eher einem Absturz, das wurde mir später auch durch meine Belegungskollegen im Zimmer bestätigt, die das Schauspiel ebenfalls mitbekommen haben.
In der Notaufnahme konnte ich dann erstmals mein Bein frei machen. Die Besatzung der REGA verabschiedete sich und schon bald bestätigten die Röntenbilder einen Bruch des Wadenbeins. Ich war mindestens etwas erleichtert, dass es kein siebenfacher Trümmerbruch war wie letztes Mal, aber in dem Fall ist das eher Zufriedenheit auf tiefem Niveau.
Der leitende Arzt der Orthopädie, Alexander Ewers, hatte noch Kapazität frei und bot mir eine unmittelbare Operation an, was ich sofort akzeptierte. Der Chefarzt und Leiter der Klinik für Anästhesiologie, Markus Bischoff, überzeugte mich von den Vorteilen einer Teilnarkose und so ging es dann bald zur Operationsvorbereitung.

Wichtig war mir einfach, dass ich von dem ganzen Geschnipsel und Gezerre auch akustisch nichts mitbekommen wollte. Dafür gab man mir dann für den Teil oberhalb der unteren Extremitäten ein Beruhigungsmittel und einen Kopfhörer, bei dem ich dann das Programm «Swiss Classics» wählte.
Als ich dann aus meiner Trance aufwachte, merkte ich, dass die da unten noch nicht ganz fertig waren. Ich hatte zwar gar keine Schmerzen, spürte aber deutlich, wie der Faden jeweils nachgezogen wurde. Die Bemerkung «kann da mal jemand wischen, ich sehe vor lauter Blut gar nichts» quittierte ich dann mit dem Wunsch, dass ich so etwas bitte nicht noch einmal hören möchte, was allgemeine Heiterkeit auslöste.
Aber die Operation ist gut verlaufen und die Voraussetzungen für eine vollständige Genesung stehen gut.

Aber noch hatte ich mindestens drei Nächte im Spital vor mir… Das erste Mal aufstehen, das erste Mal Wasser lassen (man drohte mir schon mit einem Katheter!), den üblichen Medikamenten-Cocktail, die Thrombose-Spritze, von Mitternacht an die Viertelstundenschläge der nahen Kirchen zählen, Katzenwäsche (duschen durfte ich noch nicht) etc. etc.
Das Pflegepersonal war sehr freundlich und zuvorkommend, die Mahlzeiten gut, aber die Zeit schien trotzdem stillzustehen.
Immerhin hatte ich tolle Zimmernachbarn, vor allem Henry, der zwar häufig auf dem Dach an einer Zigarette zog. Höhepunkte waren natürlich die Besuche von Michel Savary und am Sonntag noch Maja mit Timon, den ich ja noch nie «in echt» gesehen hatte.

Von Michels Mitbringseln konnte ich nur den Zitronencake geniessen, die Preziosen wagte ich neben den vielen Medis nicht zu kosten. Aber sie kommen schon noch dran!

Während dem Wochenende wollte sich niemand auf die Entlassung am Montag festlegen, aber es gab deutliche Anzeichen: Der Venenzugang wurde bereits am Sonntagmorgen entfernt, nachdem man ab Vorabend auch schon die Infusion abgehängt hatte.

Ebenso wurde mir am Sonntag nach der Wundreinigung der VacoPed angepasst, eine abnehmbare Orthese anstatt einer unflexiblen Gipsschale.
Zu diesem Zeitpunkt war mit Thomas Kuhn wieder ein Orthopäde auf Visite und er veranlasste die Entlassungsvorbereitung für Montag.
Natürlich versuchte ich am Montagmorgen möglichst vollendete Tatsachen zu schaffen: Packen, Strassenkleider anziehen, auch wenn mir klar war, dass das auf einen medizinischen Entscheid keinen Einfluss haben würde, ja vielleicht trotzdem einen ganz kleinen…
Aber nach der üblichen Treppensteigübung mit den Physiotherapeutinnen war es dann so weit. Endlich konnte ich, frisch geschient und verschraubt, nach Hause.


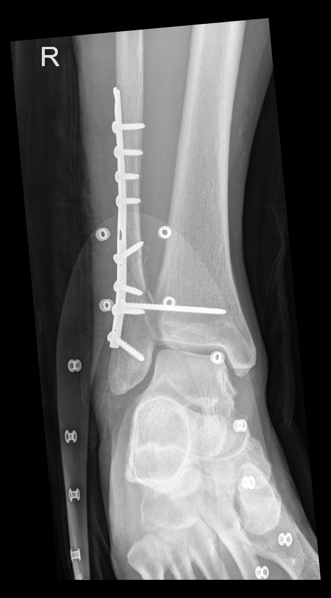
Die lange Schraube stabilisiert Schien- und Wadenbein, bis der genähte Syndesmosebandriss ausgeheilt ist. Eine Syndesmose ist eine bandartige Verbindung zwischen zwei Knochen, die aus straffem Bindegewebe besteht und als «unechtes Gelenk» gilt; sie stabilisiert vor allem das obere Sprunggelenk zwischen Schien- (Tibia) und Wadenbein (Fibula) und ermöglicht eine begrenzte Bewegung, wobei eine Verletzung zu Instabilität führt und oft eine operative Stabilisierung erfordert. Diese Stabilisierungschraube muss in 6 Wochen wieder raus, danach ist das Gerüst wieder voll belastbar.
Die Schiene kann in frühestens 9 Monaten herausoperiert werden, ich werde den Termin dann aber eher im November vereinbaren.
Die Fäden können in zwei Wochen entfernt werden.












Comment
[…] nie. Umso ärgerlicher ist es, wenn er kurz vor dem Ende einer Tour passiert. Der Bericht dazu ist hier zu […]